182人浏览
更新时间 2025-11-25

特色诊疗:无痛动态子宫输卵管造影
一、什么是无痛动态子宫输卵管造影?
无痛动态输卵管造影是检查输卵管的最佳方法,这种方法是在消毒浸润麻醉宫颈口后将新型造影导管置入宫颈口,医生在X线监视下将对比剂经导管缓慢注入宫腔,动态观察对比剂逐渐膨胀宫腔,流入输卵管,经伞端进入盆腔的全过程。然后根据对比剂间隔时间拍摄弥散片完成检查。


二、为什么要做动态子宫输卵管造影?
动态子宫输卵管造影具有准确率高、安全无副作用,可将输卵管活动和功能情况显示清晰准确,对输卵管几乎没有损伤,也不会产生严重的后遗症和并发症。

三、动态子宫输卵管造影有哪些注意事项?
1.造影前需作妇科常规化验,相关结果应在正常范围;
2.前一次月经干净后至造影前不同房:造影后至下次月经前不同房,不坐浴;
3.造影检查时间为月经干净后第3-7天。月经周期较长者可适当推迟,周期短者可测BBT后在排卵前造影。
有过敏史及特殊疾病史者请向检查医生说明!

四、动态子宫输卵管造影的检查流程是什么?
1.准备造影导管、宫颈钳及所需对比剂;
2.常规消毒铺巾;
3.双合诊检查子宫位置和大小及双侧附件有否压痛;
4.用扩张器扩张阴道,消毒阴道及宫颈;
5.宫颈钳牵拉宫颈,以探针探查宫颈深度及方向;
6.将造影导管置于宫颈口;
7.摄定位片确定盆腔及导管位置;
8.透视下注对比剂,动态观察造影剂逐渐膨胀宫腔,流入输卵管,经过伞端流入盆腔的全过程,同时拍摄X光片;
9.在注入对比剂后的20分钟或24小时再拍一张弥散片,观察对比剂在盆腔的弥散情况,分析宫颈、子宫、输卵管的形态特征;
10.术中密切观察有无手术反应,并及时处理。

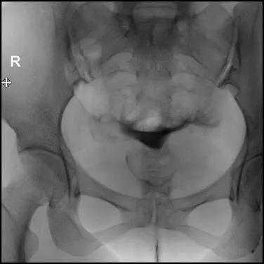
定位片

充盈片

弥散片
移植28天无卵黄囊还有出血块~正规的供卵机构
2025-11-25159 浏览
试管婴儿第三代多少钱?
2025-11-2533 浏览
输卵管弯曲怎么治~代生男孩微信群
2025-11-25179 浏览
试管婴儿过程是怎么样的?~试管供卵中介
2025-11-25147 浏览
输卵管不通会对试管婴儿的成功造成影响吗?输卵管不通影响身体健康吗?~失独供卵生子
2025-11-25180 浏览
输卵管积液对宫腔的影响?~代怀生子需要什么
2025-11-25153 浏览
泰国试管婴儿促排后B超监测卵泡的注意事项~捐卵微信群怎么找
2025-11-25176 浏览
取卵后月经失调怎么办~高薪捐卵机构
2025-11-2521 浏览
精子入卵的三个反应,怎么知道精卵结合了没?~权威供卵代生
2025-11-2583 浏览
输卵管堵塞会怀孕的吗输卵管造影检查的意义~捐卵和代孕行为
2025-11-25121 浏览
友情链接:









